Our ‘before and after’ photos prove how a little hard work and a high quality service results in a beautiful smile that’s difficult to miss.
Cosmetic Bonding
Cosmetic Bonding before and after. Patient did not like his gaps and did not want any braces. He chose to have cosmetic bonding after we discussed all the options with him. Here are his results.
Before the cosmetic bonding procedure. Gaps can be seen in between the front teeth affecting the smile. The teeth are too narrow and did not fit the overall face shape and personality of the patient.
After the cosmetic bonding procedure where the teeth are now more even, not crowded and not chipped with big gaps. This was completed in 1.5 hours followed by professional home whitening.
TRAUMA – Broken Tooth
After a night out and an incident where the front tooth was knocked and broken, the front tooth needed to be root canal treated and crowned for protection. Here we can see the before, mid treatment after the root canal, the post whitening picture and the final crown on the Upper Right Central.
Above you can see how the patient presented. The dark discolouration is due to the acute trauma that the tooth faced. The nerve was exposed and subsequently devitalised (died). A root canal treatment needed to be done.
Above we can see how the tooth was restored once the root canal treatment was completed. The tooth was temporised with a B1 shade of composite filling material. This made the rest of the teeth look very dark. The patient chose professional home teeth whitening to brighten the colour of the rest of the teeth.
Once the teeth were whitened we can see a huge improvement in the colour and smile of the teeth. The patient had a great result and was happy to proceed with a All Ceramic/Porcelain crown for the front tooth. The Porcelain crown would not only protect the tooth but mask the grey appearance of the dead tooth beneath.
You can see the end result once the crown had been fitted. The crown was made by Carlos at Bremadent Laboratory in Walthamstow, Essex. The patient made a personal visit to the Bremadent Laboratory to ensure the best colour match with the adjacent natural teeth. Ideally the other central incisor should have had a veneer to ensure the best match possible but with highly skilled technicians this was not needed. The patient was delighted with the results.
Tooth Whitening
Tooth Whitening Result at Viva Dental Studio, Hornchurch in Essex
Find out more about our teeth whitening click here.
Replacing Old, Discoloured and Worn Crowns
This patient came in and was treated by Dr Battu. The patient was unhappy with the appearance of his 20 year old crowns and wanted to have them replaced. Dr Battu was able to remove the old tired crowns and found that a root canal treatment was required. Once the root canal treatment was carried out the crowns were made by the lab. The crowns were tried in and approved for placement by the patient. The patient was very happy with the results.
Replacing a Gold tooth with a new White, All Porcelain Crown.
This patient was due to get married in 6 weeks and was concious of her gold tooth which was placed at a local NHS practice. The patient travelled to see Dr Battu who found the need to redo the work carried out before. The root canal treatment was redone and the gold onlay was replaced for a nice white, all porcelain crown in time for her big day. There was lots of smiling all round on the big day!
Cosmetic Bonding
This patient was not happy with their chips on the tips of the teeth. They found it made their teeth look worn and old. To restore the youthful teeth shape, cosmetic bonding was carried out and matched perfectly with the colour of the natural teeth.
Crown replacement with a Porcelain Veneer on the adjacent tooth.
This patient had a crown that was looking very unsightly on the margin of the crown and the gum. The patient also had a darkening tooth on the tooth next to the crown. Dr Battu was able to remove the old crown which had a metal core structure and replace it with an all Porcelain crown. The upper left central tooth was prepared for a Porcelain Veneer at the same. The patient had a temporary crown and veneer while the lab made the new restorations. The patient visited the lab for shade taking to ensure the best possible colour match resulted.
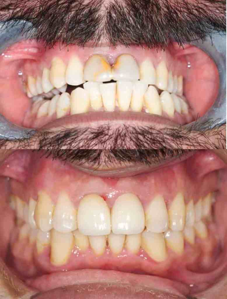
Gap filling as patient did not want braces
The following patient wanted a quick fix. She was not prepared to wear braces but ever since she can remember for the last 30 years or more she hated her smile. No one ever offered Cosmetic Bonding for the teeth and no one was able to help her build her confidence in smiling. Dr Battu offered simple and effecting cosmetic bonding and achieved great results which the patient was extremely happy with. The procedure tooth 2 hours to complete by the results achieved incredible confidence that can last a lifetime!
Gap replacement with Maryland Bridges
This patient wanted to cover her gaps from teeth that were missing from birth. She was concious of her smile due to the gaps but did not mind her gap in between the front teeth. This was a family trait of a gap between the teeth which she wanted to maintain. The remaining gaps were replaced with a sticky bridge that does not require any tooth preparation. This ensure minimal damage if any to the teeth.
































You must be logged in to post a comment.